PATIENT GALLERY
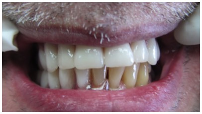
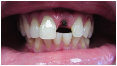
BEFORE
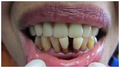
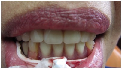
AFTER








Leftside view

Front view

Right side view


About Dr. Maria Supnet-Gozun,DDS
Dr. Maria Gozun, DDS has been a practicing dentist for more than 25 years and is recognized as one of America's Top Dentist for 2012 - Verified by Consumer's Research Council of America.
She's a graduate of New York University and University of the East-Philippines. She keeps her professional experience updated by being a member of the Academy of General Dentistry.
Visit her at her office to experience what it means to get personalized treatment and great patient care.
What We Do
Our office provides all general dental services, examinations, diagnostics, and dental treatments catering to all ages.
Our Services
Our Team
Our Office
Office Schedule
Directions
Insurance and Payment Providers
Contact Us
Telephone: (718) 897-3400
Fax: (718) 897-3401
98-76 Queens Blvd., Suite P-1
Rego Park, NY, 11374
(corner of 66th Ave., & Queens Blvd.)
Schedule an Appointment
Inquiry Forms
Patient Forms